Clinician Resources
-

When to Refer for Blood Tests in Foot and Ankle Pain: Identifying Systemic Causes
Foot and ankle pain is often attributed to local musculoskeletal pathology; however, clinicians should remain alert to the possibility of underlying systemic or metabolic causes.
-

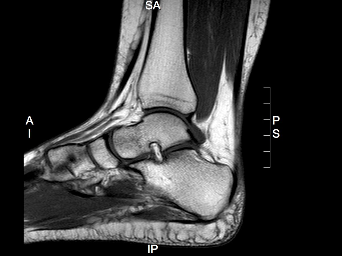
When to Refer for MRI in Foot and Ankle Conditions
Magnetic resonance imaging (MRI) plays an important role in the assessment of foot and ankle conditions, particularly where more detailed evaluation of soft tissue and
-

When to Refer for Ultrasound (POCUS) in Foot and Ankle Assessment
Ultrasound, including point-of-care ultrasound (POCUS), is an increasingly valuable tool in the assessment of foot and ankle pathology. It provides dynamic, real-time imaging of soft